тресните меня, если я вновь забуду, что хламидии - это облигатно внутриклеточные бактерии, а трихомонады - простейшие
Терапия - это когда в начале лень, хочется лечь в кровать, слушать грустную музыку и плакать, а после двух хорошо проработанных часов одеваешь доспехи, уходишь в крестовый поход и жжёшь город до фундамента. Как говорилось в одном мемном тексте “Значит так. В мире есть два типа людей: одни живут, а вторые ищут виноватых. (Одни живут, а вторые все время чего-то ждут). И, если ты этого не понимаешь, значит, ты идиот». Он скажет «ах» и упадет в обморок. На психотерапию потребуется примерно пять лет.” И вот я уже зашла на второй год терапии и могу сказать, что я никогда не делала для себя ничего более важного, чем это и сильно жалею, что не начала на 10 лет раньше. Лучше поздно, чем никогда.
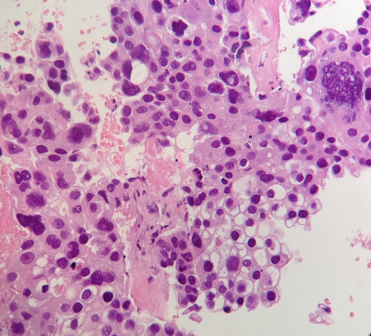
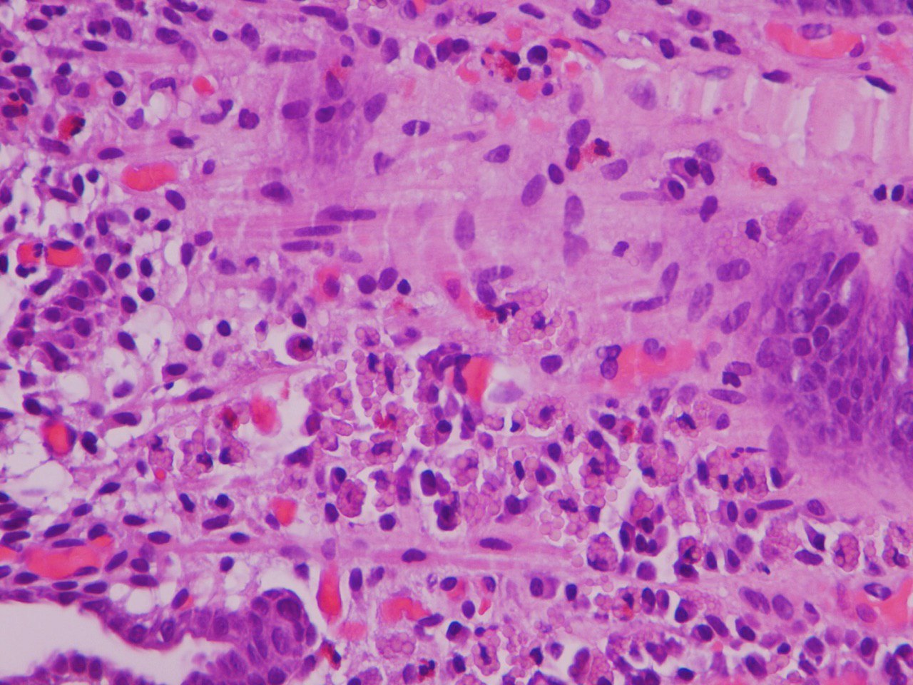
4)В печени, но не печень.... первично желудочная хориокарцинома
(Принимаю ваши любимые ковры в ЛС)
(Принимаю ваши любимые ковры в ЛС)
изящный способ назвать кого-нибудь молокососом: у тебя ещё лактаза экспримируется. вот дойдёшь до старших курсов, начнёшь пить кофе без молока 🔪🖤
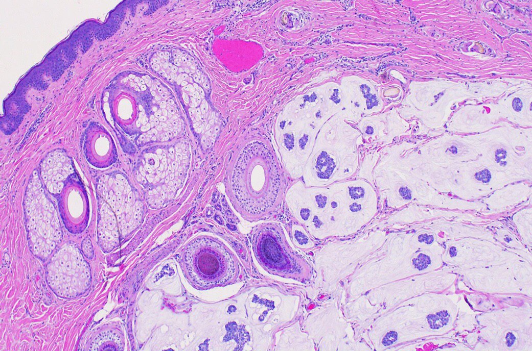
извините, у вас на лице базалиома, я не могу отвести от вас глаз в метро, не надо меня осуждать, вы были у врача?
Нас найдут по ярым крикам, нас найдут по битым ликам, пеплу самобичеваний, по запаху напрасных страданий...
Ковыряясь со мной в прекрасное воскресное утро в секционной, одна девочка поведала мне, что существует статистика по самоубийствам среди европейских врачей по больницам. Главная больница Вены при этом находится в топе с показателем один врач в год. Я решила было гуглить через пару дней и нашла интересную статью, информацию из которой я сейчас вам переведу.
По результатам международных исследований медики показывают в 2,5-5,7 раз больший суицидальный риск, чем сравнительная группа. Распределение полов у врачей равномерно 1:1, при том что в общем населении мужчины в 2,5 чаще приходят к таким действиям. В норвежском исследовании четверть опрошенных врачей подтвердило чувство периодического ощущения бессмысленности жизни. Каждый десятый из них при этом имел серьезные мысли о совершении самоубийства. Немецкое исследование показало, что 50% медиков имело в своей жизни мысли о самоубийстве, две трети считают возможным совершить самоубийство в будущем. Чаще всего прибегают к суициду психиатры и анастезиологи.
Среди причин называются: депрессивные состояния (23-31% в первый год ординатуры, по сравнению с 15% общего населения), злоупотребление субстанциями (15% медиков имеют проблемы с алкоголем и другими наркотиками в течение жизни), редкий поиск профессиональной помощи и другие причины связанные с профессиональной деятельностью.
Подохнуть у порога обетованной земли
Сорвать противогаз и липким сердцем об асфальт
У каждого из нас быть могут разные ходы
Но цель у нас едина —
Суицид
Пусть будет легко...
Ковыряясь со мной в прекрасное воскресное утро в секционной, одна девочка поведала мне, что существует статистика по самоубийствам среди европейских врачей по больницам. Главная больница Вены при этом находится в топе с показателем один врач в год. Я решила было гуглить через пару дней и нашла интересную статью, информацию из которой я сейчас вам переведу.
По результатам международных исследований медики показывают в 2,5-5,7 раз больший суицидальный риск, чем сравнительная группа. Распределение полов у врачей равномерно 1:1, при том что в общем населении мужчины в 2,5 чаще приходят к таким действиям. В норвежском исследовании четверть опрошенных врачей подтвердило чувство периодического ощущения бессмысленности жизни. Каждый десятый из них при этом имел серьезные мысли о совершении самоубийства. Немецкое исследование показало, что 50% медиков имело в своей жизни мысли о самоубийстве, две трети считают возможным совершить самоубийство в будущем. Чаще всего прибегают к суициду психиатры и анастезиологи.
Среди причин называются: депрессивные состояния (23-31% в первый год ординатуры, по сравнению с 15% общего населения), злоупотребление субстанциями (15% медиков имеют проблемы с алкоголем и другими наркотиками в течение жизни), редкий поиск профессиональной помощи и другие причины связанные с профессиональной деятельностью.
Подохнуть у порога обетованной земли
Сорвать противогаз и липким сердцем об асфальт
У каждого из нас быть могут разные ходы
Но цель у нас едина —
Суицид
Пусть будет легко...
очередное отсутствие равноправия: у женщин восходящие инфекции половых путей могут вызывать перитонит, потому что фаллопиевы трубы открываются в интраперитонеальное пространство