Перелетные птицы в среднем окрашены светлее, чем оседлые. К такому выводу пришли орнитологи, проанализировав данные о почти десяти тысячах видов птиц. Светлая окраска отражает часть солнечных лучей и помогает пернатым мигрантам не перегреваться во время путешествий
n-pl.us/31621/t
n-pl.us/31621/t
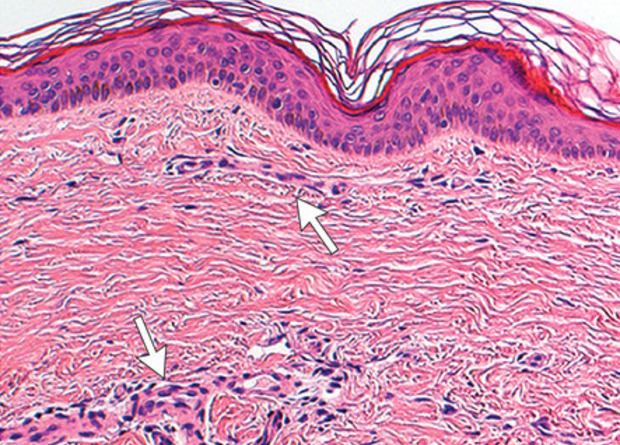
В 2017 году мы рассказывали о мальчике с буллезным эпидермолизом, которому пересадили трансгенную кожу. Ее вырастили из клеток эпидермиса ребенка и с помощью ретровирусного вектора доставили в клетки недостающий ген. Теперь итальянские и немецкие врачи рассказали о здоровье мальчика спустя пять лет после операции — кожа хорошо прижилась, осложнений после пересадки не возникло, и мальчик ведет такую же жизнь, как и его сверстники
n-pl.us/31624/t
n-pl.us/31624/t
Биоархеологи обнаружили в Центральном Китае останки женщины-карлика, умершей более 2200 лет назад. Ее физическое состояние не позволяло заниматься обычным трудом, но община или семья продолжали заботиться о ней и не дискриминировали. Ученые предположили, что она могла обеспечивать себя, развлекая других
n-pl.us/31620/t
n-pl.us/31620/t
👍1
Многие из тех, кто не работал на удаленке, с трудом привыкли к ней во время пандемии. А каково было бы героям Айзека Азимова, братьев Стругацких и Олдоса Хаксли? В партнерском материале рассказываем, как организовали бы рабочие процессы герои фантастических романов
n-pl.us/31602/t
n-pl.us/31602/t
«Забудьте все, чему вас учили в школе!» — кричит нам иногда современная физика. Действительно, в школе мы проходили, что свет, падающий на границу раздела двух сред, преломляется по другую сторону от нормали к ней. Оказалось, что он может преломляться по ту же самую сторону, и так можно сделать, например, плоскую линзу. С тех пор физики активно изучают это явление. Недавно команда ученых показала, что этот эффект можно обнаружить для звука, вызвав в среде синтетическое калибровочное поле
n-pl.us/31632/t
n-pl.us/31632/t
Тигры и ягуары страдают от рук браконьеров, но главную угрозу для них (как и почти для любых видов) представляет утрата местообитаний. Ученые проанализировали строительство плотин гидроэлектростанций в ареалах этих хищных кошек в Азии, Центральной и Южной Америке и обнаружили, что суммарно в них затоплено почти 40 тысяч квадратных километров. Это уже лишило мест обитания чуть более половины процента ягуаров и более 20 процентов тигров. В будущем ситуация может ухудшиться, потому что на этих территориях возведут еще более 400 плотин
n-pl.us/31625/t
n-pl.us/31625/t
Новостями об упавшей отварной сосиске уже никого не удивишь. Однако вот более свежий инфоповод: делавэрские чайки успешно прошли испытание, в котором должны были потянуть за веревку, чтобы вытащить из коробки чашку Петри с кусочком сосиски на ней. Поставившие этот эксперимент орнитологи отмечают, что воробьиные и попугаи достаточно легко решают аналогичные задачи, однако для околоводных птиц способность справляться с ними продемонстрирована впервые
n-pl.us/31628/t
n-pl.us/31628/t
В 2020 году 680 000 человек во всем мире умерли от причин, связанных с ВИЧ, и еще 1,5 миллиона человек заразились ВИЧ. Wonderzine рассказывает, как лечат инфекцию и почему у нас до сих пор нет от нее лекарства
https://www.wonderzine.com/wonderzine/health/wellness/260401-hiv
https://www.wonderzine.com/wonderzine/health/wellness/260401-hiv
Тело нематод C. elegans состоит из тысячи клеток, из которых 302 — нейроны. Из-за такой доступности этих клеток биологи изучают на червях многие нервные процессы. Например, недавно исследовали переключение программы пищевого поведения с подвижной на оседлую: оказалось, всем управляет один нейрон, получающий информацию о запахе еды
n-pl.us/31636/t
n-pl.us/31636/t
Американские исследователи создали мРНК вакцину от ВИЧ и протестировали ее на обезьянах — препарат уменьшил риск заразиться вирусом иммунодефицита на 71 процент. Тем не менее, вакцина еще нуждается в доработке: уровни антител после прививки пока далеки от оптимальных
n-pl.us/31641/t
n-pl.us/31641/t
Турецкую провинцию Батман обычно вспоминают благодаря сходству ее названия с именем знаменитого супергероя. Однако для ихтиологов она интересна тем, что в местных реках и ручьях обитает неуловимая рыбка — батманский голец В первый и последний раз ученые видели ее в 1974 году — и многие даже думали, что она исчезла из-за строительства плотины и загрязнения воды. Однако этой осенью турецким ихтиологам удалось обнаружить две сохранившиеся популяции гольцов
n-pl.us/31648/t
n-pl.us/31648/t
Компания «Эфко» известна своим майонезом, подсолнечным маслом и кетчупом «Слобода». Но это не помешало ей меньше чем за год построить прототип аэротакси и приступить к его летным испытаниям. В следующем году Hi-Fly Taxi может появиться на выделенных маршрутах в Белгородской области
n-pl.us/31649/t
n-pl.us/31649/t
Если вы возьмете нормальную научную статью по биологии рака и вздумаете повторить эксперимент из нее, то в трети случаев даже не узнаете, какие реагенты и методы вам нужны. Еще в половине случаев окажется, что авторский протокол вам не подходит. Шансы довести дело до конца у вас где-то 25% — и в половине из них оригинальный результат не воспроизведется. К таким выводам пришла «Коллаборация за открытую науку», которая шесть лет назад уже уличила в невоспроизводимости психологию и теперь с теми же претензиями обратилась к биологам. Давайте разберемся, почему такие разные науки постигла общая беда, насколько она велика — и кто в этом виноват
n-pl.us/31650/t
n-pl.us/31650/t
Нейросеть научили озвучивать беззвучные видеоролики. Она распознает источники звука и подбирает для них эффекты с учетом их движения в кадре
https://nplus1.ru/news/2021/12/11/soundify
https://nplus1.ru/news/2021/12/11/soundify
🔥2
Недавно американские ученые вывели живых роботов, которые научились размножаться. Борис Жуков в авторской колонке Сноба рассказывает, что это, осуществившаяся мечта или кошмар наяву
Ученые подтвердили, что омикрон-вариант коронавируса способен заражать людей, получивших даже третью дозу мРНК-вакцины. Они наблюдали за семью инфицированными жителями Германии, которые находились в ЮАР. У всех проявились характерные для ковида симптомы, но течение болезни оказалось легким
https://nplus1.ru/news/2021/12/11/omicron-variant
https://nplus1.ru/news/2021/12/11/omicron-variant
nplus1.ru
Омикрон-вариант вызвал легкий ковид у троекратно привитых мРНК-вакциной
Ученые из Германии и ЮАР наблюдали семь человек, привитых тремя дозами мРНК-вакцины (один человек получил одну дозу Vaxzevria), которые заразились омикрон-вариантом коронавируса. У всех пациентов развилась характерная для ковида симптоматика, но никому не потребовалась…
Археологи раскопали на Дону заброшенный колодец скифской эпохи, на дне которого находились останки трех пожилых мужчин. Похоже, их аккуратно спустили туда на веревках, а затем засыпали землей и провели череду постпогребальных действий. Возможно, местные жители спрятали их там из-за убеждений, что они представляют опасность для мира живых
https://nplus1.ru/news/2021/12/11/burial-in-well
https://nplus1.ru/news/2021/12/11/burial-in-well
nplus1.ru
Археологи нашли на Дону тройное погребение в заброшенном колодце
Археологи обнаружили на Дону засыпанный колодец, в котором находилось погребение трех пожилых мужчин IV–III веков до нашей эры. Их аккуратно опустили на дно четырехметровой шахты, после чего засыпали землей и глиной, несколько раз разожгли огонь и положили…
«Джеймс Уэбб» стал совсем близко к моменту своего долгожданного запуска в космос — обсерваторию полностью заправили топливом. Уже через неделю ракету-носитель «Ариан-5» с телескопом вывезут на стартовую площадку, а 22 декабря телескоп отправится исследовать Вселенную
https://nplus1.ru/news/2021/12/11/jwst-is-full
https://nplus1.ru/news/2021/12/11/jwst-is-full
nplus1.ru
«Джеймс Уэбб» заправили топливом
Сотрудники космодрома Куру завершили заправку топливом нового космического телескопа «Джеймс Уэбб». Ожидается, что 20 декабря ракету-носитель «Ариан-5» с телескопом вывезут на стартовую площадку, а 22 декабря запустят в космос, сообщается на сайте NASA.
В семье космических телескопов пополнение — к ним присоединился IXPE, который в космос вывела ракета-носитель Falcon 9. Она займется измерением поляризации излучения от различных объектов, что поможет разобраться в свойствах нейтронных звезд разных типов, остатков сверхновых и активных ядер галактик
https://nplus1.ru/news/2021/12/11/ixpe
https://nplus1.ru/news/2021/12/11/ixpe
nplus1.ru
NASA запустило космический телескоп IXPE для изучения поляризации рентгеновского излучения
Ракета-носитель Falcon 9 вывела в космос новую рентгеновскую обсерваторию IXPE, которая на протяжении двух лет будет заниматься измерением поляризации излучения от различных объектов в нашей галактике и за ее пределами. Это поможет разобраться в свойствах…
Специалистам из Океанариума залива Монтерей удалось снять глубоководную медузу Stygiomedusa gigantea на видео
Геронтологи обнаружили, что экстракт виноградных косточек (а точнее, вещество процианидин С1) обладает свойством сенолитика, то есть убивает состарившиеся клетки в тканях
Пчелы с канарского острова Ла-Пальма смогли пережить извержение вулкана Кумбре-Вьеха, запечатав ульи прополисом на 50 дней. Все это время они питались запасами меда
В 2017 году мы рассказывали о мальчике с буллезным эпидермолизом, которому пересадили трансгенную кожу. Теперь врачи рассказали о здоровье мальчика спустя пять лет после операции — кожа хорошо прижилась и без осложнений
Если бы ваша жизнь была фильмом, сколько жестких дисков понадобилось бы, чтобы его сохранить? Узнайте из калькулятора в нашем партнерском материале
Более двух месяцев продолжается извержение вулкана Кумбре-Вьеха на канарском острове Ла-Пальма. Рассказываем, откуда взялся этот вулкан, как он работает, и вспоминаем, что произошло на Ла-Пальме за время извержения
Чтобы заставить предмет парить в воздухе, не обязательно на разные лады повторять «Вингардиум Левиоса». Достаточно собрать левитатор — в партнерском материале рассказываем, как это можно сделать
Удаленка — дело непростое с непривычки. А если вы с коллегами еще и живете на разных планетах… В партнерском материале рассказываем, как организовали бы рабочие процессы герои фантастических романов
#главноезанеделю
Геронтологи обнаружили, что экстракт виноградных косточек (а точнее, вещество процианидин С1) обладает свойством сенолитика, то есть убивает состарившиеся клетки в тканях
Пчелы с канарского острова Ла-Пальма смогли пережить извержение вулкана Кумбре-Вьеха, запечатав ульи прополисом на 50 дней. Все это время они питались запасами меда
В 2017 году мы рассказывали о мальчике с буллезным эпидермолизом, которому пересадили трансгенную кожу. Теперь врачи рассказали о здоровье мальчика спустя пять лет после операции — кожа хорошо прижилась и без осложнений
Если бы ваша жизнь была фильмом, сколько жестких дисков понадобилось бы, чтобы его сохранить? Узнайте из калькулятора в нашем партнерском материале
Более двух месяцев продолжается извержение вулкана Кумбре-Вьеха на канарском острове Ла-Пальма. Рассказываем, откуда взялся этот вулкан, как он работает, и вспоминаем, что произошло на Ла-Пальме за время извержения
Чтобы заставить предмет парить в воздухе, не обязательно на разные лады повторять «Вингардиум Левиоса». Достаточно собрать левитатор — в партнерском материале рассказываем, как это можно сделать
Удаленка — дело непростое с непривычки. А если вы с коллегами еще и живете на разных планетах… В партнерском материале рассказываем, как организовали бы рабочие процессы герои фантастических романов
#главноезанеделю