Правда ли, что деревья умеют ходить и разговаривать только в фэнтезийном эпосе Толкиена «Властелин колец»? И что только владыка Изенгарда Саруман способен заставить их объединиться в союз и отправиться на войну? Мы привычно считаем, что в природе деревья не умеют ни двигаться, ни общаться друг с другом, но на самом деле это не так. О том, на что способны эти удивительные представители растительного царства, читайте в нашем материале
http://short.nplus1.ru/walkingtrees
http://short.nplus1.ru/walkingtrees
Мощные космические источники рентгеновского излучения, такие как сверхмассивные черные дыры в активной фазе, обычно считаются помехой для жизни. Оказывается, они могут играть и противоположную роль. Ученые промоделировали влияние такого излучения на образование молекул и пришли к выводу, что активность центральной черной дыры может обогащать галактику органическими веществами
http://short.nplus1.ru/organicsmbh
http://short.nplus1.ru/organicsmbh
Клетки человеческого организма не умеют синтезировать этанол, зато многие микроорганизмы, которые в нас обитают, на это способны. Обычно их находят в кишечнике, и спирта они делают совсем немного. Однако 61-летней американке, ожидающей пересадки печени в Питтсбурге, не повезло: мощные «внутренние пивоварни» у неё обнаружили не в кишечнике, а в мочевом пузыре — а поскольку виновников спиртового брожения нашли совсем не сразу, долгое время ей отказывали в операции, ссылаясь на то, что она тайно выпивает
http://short.nplus1.ru/urinarybrewer
http://short.nplus1.ru/urinarybrewer
В погоне за долгой жизнью важно не забыть сделать ее здоровой. Поэтому китайские ученые отправились на поиски механизмов, которые запускают один из самых неприятных признаков старости — дефицит нейромедиаторов и ухудшение когнитивных функций. Два гена, которые могут быть за это ответственными, они нашли у червей, а затем подтвердили, что у млекопитающих они работают точно так же. Если мы научимся останавливать их работу, то такая терапия если не продлит человеческую жизнь, то хотя бы скрасит ее окончание
http://short.nplus1.ru/2aginggenes
http://short.nplus1.ru/2aginggenes
Советский ученый Николай Кардашев полвека назад сформировал шкалу, в которой уровень развития цивилизации определялся количеством используемой энергии. Подход логичный: когда человечество обучалось использовать энергию лошади, угля, нефти, атомного распада, оно поднималось на новый уровень могущества. Освоение космоса ознаменовало новый этап. В партнерском материале рассказываем о том, как обеспечивают энергией спутники и космические корабли
http://short.nplus1.ru/spaceenergy
http://short.nplus1.ru/spaceenergy
За несколько дней до того, как лайнер «Даймонд Принцесс» должен был завершить свой двухнедельный круиз, у одного из пассажиров обнаружили коронавирус, и корабль встал на карантин у берегов Японии. И так всего за несколько дней «Даймонд Принцесс» стал самым крупным местом вспышки COVID-19 за пределами материкового Китая. О том, насколько оправданным было решение оставить пассажиров на корабле и можно ли было избежать еще одной крупной вспышки, а также чем эта история похожа на произошедшую в 1970-х годах вспышку болезни легионеров, мы поговорили с бывшим главой Роспотребнадзора и бывшим Главным санитарным врачом России Геннадием Онищенко
http://short.nplus1.ru/diamondprincess
http://short.nplus1.ru/diamondprincess
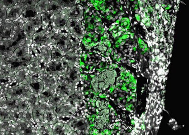
При диабете организм не справляется с поддержанием нужного уровня сахара в крови. В норме этим заняты бета-клетки поджелудочной железы: если концентрация глюкозы повышается, они выделяют инсулин, который возвращает все в норму. Американские ученые придумали, как из стволовых клеток человека выращивать бета-клетки. Когда такие клетки пересадили больным мышам, симптомы диабета исчезли
http://short.nplus1.ru/stemdiabetes
http://short.nplus1.ru/stemdiabetes
Мировая торговля вооружениями и военной техникой устроена сложнее, чем торговля автомобилями или кокосовым молоком. На этом рынке действуют свои законы, а торговлей занимаются специальные компании, имеющие государственную лицензию и контролируемые правительством. Из-за этого возникает множество вопросов о том, как устроен рынок вооружений. На некоторые наиболее распространенные из них мы постарались ответить в нашем материале
http://short.nplus1.ru/sellingweapons
http://short.nplus1.ru/sellingweapons
👍1
Ученые из нескольких стран создали сеть из искусственных и естественных нейронов, которые посылали друг другу сигналы из разных точек Европы. Части системы находились в Англии, Италии и Швейцарии и «общались» через интернет. Удивительно, но этот гибрид даже проявлял некоторые свойства живых нейронных сетей
http://short.nplus1.ru/neurochat
http://short.nplus1.ru/neurochat
В современной физике есть неизменные ни во времени, ни в пространстве величины — фундаментальные константы. Однако в некоторых предложенных обобщающих гипотезах их значения могут меняться. Ученые впервые оценили вариации одной из таких величин — постоянной тонкой структуры — вблизи сверхмассивной черной дыры. В переделе ошибок отклонений найти не удалось
http://short.nplus1.ru/finestructureblh
http://short.nplus1.ru/finestructureblh
Биофлюоресценция — красивое явление, которое можно наблюдать у многих растений и животных. Но до сих пор это свойство обнаружили всего у нескольких групп наземных позвоночных. Двое ученых из Америки посадили под синие лампы амфибий из 15 семейств, и в ответ все животные засветились зеленым, желтым или оранжевым. Вероятно, флуоресцировать начали еще древние земноводные. Однако остается неясным, как именно они это делают и зачем
http://short.nplus1.ru/glowingfrogs
http://short.nplus1.ru/glowingfrogs
Даже если популяция бактерий не обладает устойчивостью к антибиотикам и все особи в ней имеют одинаковые гены, небольшой процент её клеток может пережить негативное воздействие, на время прекратив размножение и рост. Микробиологи выяснили, что такие микроорганизмы не только изначально очень редко делятся, но и появляются на свет более короткими, и внешне меньше похожи на материнские клетки, чем их малоустойчивые «сёстры»
http://short.nplus1.ru/smol
http://short.nplus1.ru/smol
Справочники и руководства по классификации болезней уже давно отказались разделять шизофрению на какие-то типы: симптомы, характерные для одного типа, довольно часто наблюдаются и в других. Американские ученые предложили не отказываться от классификации совсем, а обратиться к структурным различиям головного мозга: с помощью анализа серого и белого вещества им удалось разделить шизофрению на два типа. Пока что, правда, непонятно, как именно они различаются по видимым психическим симптомам
http://short.nplus1.ru/schizo
http://short.nplus1.ru/schizo
По традиции делимся с вами обзором лучших новостей и материалов недели.
Кошачья музыка успокоила кошек лучше классической человеческой
Ученые опубликовали первые научные результаты марсианского зонда InSight. Оказалось, что Марс по-прежнему сейсмически активен
У 61-летней американки обнаружили мощные «внутренние пивоварни» в мочевом пузыре
Блеск одной из ярчайших звезд ночного неба, красного сверхгиганта Бетельгейзе, перестал снижаться впервые с октября 2019 года
В нашем материале разбираемся, почему иногда после обновления прошивки или приложения гаджет начинает работать хуже и почему багов при этом нельзя избежать
Если вы в заграничных поездках пользуетесь банковской картой, то вам нужно соблюдать меры предосторожности. Пройдите наш тест и разберитесь во всех тонкостях путешествия без наличных (партнерский материал)
Мы привычно считаем, что в природе деревья не умеют ни двигаться, ни общаться друг с другом, но на самом деле это не так. О том, на что способны эти удивительные представители растительного царства, читайте в нашем материале
Правда ли, что домашние задания бесполезны, и какова оптимальная продолжительность одного урока? Пройдите наш тест и узнайте, что наука думает о тех или иных аспектах школьного образования (партнерский материал)
Освоение космоса ознаменовало новый этап в развитии человечества в целом и энергетики в частности. В партнерском материале рассказываем о том, как обеспечивают энергией спутники и космические корабли
#главноезанеделю
Кошачья музыка успокоила кошек лучше классической человеческой
Ученые опубликовали первые научные результаты марсианского зонда InSight. Оказалось, что Марс по-прежнему сейсмически активен
У 61-летней американки обнаружили мощные «внутренние пивоварни» в мочевом пузыре
Блеск одной из ярчайших звезд ночного неба, красного сверхгиганта Бетельгейзе, перестал снижаться впервые с октября 2019 года
В нашем материале разбираемся, почему иногда после обновления прошивки или приложения гаджет начинает работать хуже и почему багов при этом нельзя избежать
Если вы в заграничных поездках пользуетесь банковской картой, то вам нужно соблюдать меры предосторожности. Пройдите наш тест и разберитесь во всех тонкостях путешествия без наличных (партнерский материал)
Мы привычно считаем, что в природе деревья не умеют ни двигаться, ни общаться друг с другом, но на самом деле это не так. О том, на что способны эти удивительные представители растительного царства, читайте в нашем материале
Правда ли, что домашние задания бесполезны, и какова оптимальная продолжительность одного урока? Пройдите наш тест и узнайте, что наука думает о тех или иных аспектах школьного образования (партнерский материал)
Освоение космоса ознаменовало новый этап в развитии человечества в целом и энергетики в частности. В партнерском материале рассказываем о том, как обеспечивают энергией спутники и космические корабли
#главноезанеделю
nplus1.ru
Кошачья музыка успокоила кошек лучше классической человеческой
Снизить стресс кошкам во время осмотра в ветеринарной клинике можно с помощью специально записанной для них музыки со звуками урчания и кормления котят. Это выяснили американские ученые, которые включали 21 кошке либо кошачью музыку, либо классическую, либо…
Если вы знакомы с творчеством групп «Король и шут» и «Дискотека Авария», значит, вам уже точно пора подумать о своем здоровье. Мы спешим на помощь и предлагаем пройти наш тест: выберите между двумя отрывками из песен этих групп и узнайте, к кому вы ближе по самочувствию — мертвому анархисту или disco superstar
http://short.nplus1.ru/anarchodisco
http://short.nplus1.ru/anarchodisco
Друзья, а мы напоминаем, что вместе с проектом Игра Коперника мы организовали серию командных викторин в баре. Одна игра — это два часа интересных вопросов о космосе, биологии, истории, литературе и многом другом.
На личном опыте подтверждаем, что это отличный способ провести время со своими друзьями или обрести новых на месте.
Ближайшая игра состоится уже 4 марта!
Чтобы попасть на нее, вам нужно собрать команду от 4 до 10 человек, придумать название и зарегистрироваться: https://vk.cc/aquRg1
На личном опыте подтверждаем, что это отличный способ провести время со своими друзьями или обрести новых на месте.
Ближайшая игра состоится уже 4 марта!
Чтобы попасть на нее, вам нужно собрать команду от 4 до 10 человек, придумать название и зарегистрироваться: https://vk.cc/aquRg1
Кончик носа у собак холодный и влажный. Оказывается, он не только приятный на ощупь и смешно двигается из стороны в сторону, но и обладает суперспособностью: чувствует инфракрасное излучение. Прямо как ямка на голове у гремучих змей. Новое свойство обнаружили ученые из Швеции и Венгрии. Они показали, что собаки своим мокрым носом могут различать температуру предметов, и нашли участок мозга, который отвечает за этот процесс
http://short.nplus1.ru/dognose
http://short.nplus1.ru/dognose
Любой возникающий у нас вопрос мы привыкли задавать поисковику — и он отвечает на него за доли секунды. В партнерском материале рассказываем, что же происходит за это время и как системе удается обработать запрос, даже если с точки зрения русского языка и здравого смысла он сформулирован не очень хорошо
http://short.nplus1.ru/websearch
http://short.nplus1.ru/websearch
Астрономы обнаружили в межзвездной среде массу органических соединений, в том числе аминокислоту глицин. В новой работе ученые утверждают об установлении первой структуры внеземного белка, получившего название гемолитин. Это необычное по земным меркам соединение было выделено из метеорита
http://short.nplus1.ru/meteoriteproten
http://short.nplus1.ru/meteoriteproten
Вместо того, чтобы идти ко врачу, разбираться в причинах и начинать лечение, при бессоннице люди часто обращаются к снотворным средствам или народной медицине. Наверняка вы слышали рекомендации пить ромашковый или мятный чай, настои пустырника или валерианы. Австралийские ученые проверили, помогает ли экстракт шафрана улучшить качество сна. По предварительным данным, действительно помогает
http://short.nplus1.ru/saffroninsomnia
http://short.nplus1.ru/saffroninsomnia