Для тех, кто не может ограничить себя в еде, уже существуют таблетки, имитирующие голодание. Появятся ли таблетки для тех, кто не может заставить себя заниматься физкультурой? Ученые сделали первый шаг в этом направлении: они нашли белок, который производится в основном в мышцах и отвечает в них за пользу от физических упражнений. Мухи, у которых его выключили, стали нечувствительны к тренировкам, а мыши, которым его добавили, перестали терять мышечную ткань в пожилом возрасте
http://short.nplus1.ru/sestrinexercise
http://short.nplus1.ru/sestrinexercise
Признайтесь, вы терли нос собаки на станции метро «Площадь Революции»? Но скульптура собаки — не единственное, что трогают люди на этой станции для исполнения своих желаний. Предлагаем вам узнать немного о том, какие статуи являются самыми «трогательными», как надо их правильно касаться и какие желания они могут исполнить: просто выберите карточку с той скульптурой, которая вам интересна
В США определились с местом строительства нового коллайдера — сталкивающая электроны с ионами установка появится в Брукхейвенской национальной лаборатории в штате Нью-Йорк. С помощью этого инструмента физики планируют детально исследовать внутреннюю структуру протонов и нейтронов, а также лучше разобраться в сильном ядерном взаимодействии
http://short.nplus1.ru/toplaceeic
http://short.nplus1.ru/toplaceeic
Поиски единого маркера биологического возраста до сих пор ни к чему не привели — то ли потому что плохо ищут, то ли потому что каждый человек стареет по-своему. Американские учёные взялись проверить второе предположение и собрали данные о нескольких сотнях маркеров у сотни испытуемых. Оказалось, что все маркеры можно разделить на четыре основные группы, а людей — на несколько типов старения, в зависимости от того, маркеры какой группы у них меняются с возрастом
http://short.nplus1.ru/agetypes
http://short.nplus1.ru/agetypes
Любой объект с чипом для сбора и передачи информации, от фитнес-браслета до промышленного оборудования, — часть огромного Интернета вещей. А теперь представьте, сколько данных генерируют все эти устройства. Например, только в 2016 году они создали 220 зеттабайт данных. В партнерском материале рассказываем, как нужно перестроить всю существующую инфраструктуру передачи, хранения и анализа данных, чтобы решить эту проблему
http://short.nplus1.ru/loTanddata
http://short.nplus1.ru/loTanddata
В сентябре мы писали о том, что печень человека научились хранить отдельно от тела в течение полутора суток. Теперь этот рекорд побит, новая планка — неделя. Для того, чтобы орган сохранил свои функции и не разрушился, швейцарские ученые построили систему перфузии, которая имитирует не только ток и состав крови, но также работу поджелудочной железы, почек и диафрагмы. Метод опробовали не только на свиных, но и на человеческих органах
http://short.nplus1.ru/liverpreserved
http://short.nplus1.ru/liverpreserved
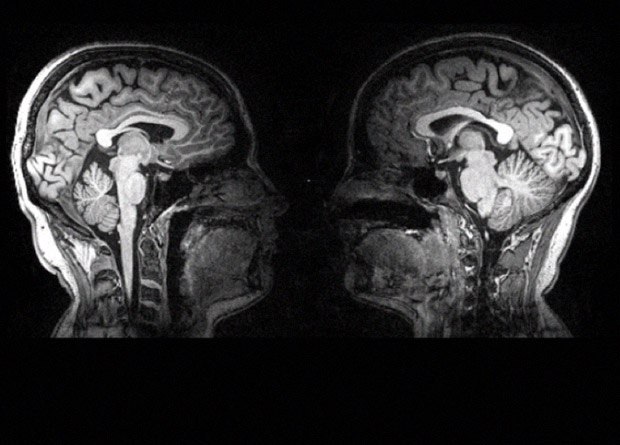
Функциональная МРТ может рассказать о работе мозга очень много, но у этого метода есть свои ограничения. Например, сканер очень громоздкий и очень шумный, а визуализировать можно активность только одного мозга за раз: изучать активность мозга при общении людей с помощью него, поэтому, затруднительно. А вот финским ученым это удалось: они поставили в МРТ двойную катушку, благодаря чему им удалось засунуть в аппарат сразу двоих участников и изучить активность их мозга одновременно. Лежать им, правда, пришлось в обнимку
http://short.nplus1.ru/dpmri
http://short.nplus1.ru/dpmri
Любите слушать музыку через наушники-затычки? Слышали, что будто бы это не безопасно и грозит отитом? Мы решили во всем разобраться и узнали, какие потенциальные угрозы для здоровья могут представлять собой устройства, с которыми вы не расстаетесь каждый день
http://short.nplus1.ru/earphonesotitis
http://short.nplus1.ru/earphonesotitis
❤1
Вы, вероятно, слышали о том, что токсоплазма — это хитрый паразит, который заставляет мышей (а по некоторым слухам — и людей) любить кошек. Кажется, с этим любопытным фактом из мира животных что-то не так. Ученые подвергли зараженных токсоплазмой мышей разным поведенческим тестам и выяснили, что паразит изменяет поведение животных не избирательно, а в целом: они становятся менее тревожными и одинаково реагируют не только на хищника и не-хищника, но и на живые и неживые объекты
http://short.nplus1.ru/noloveforcats
http://short.nplus1.ru/noloveforcats
Современный мир меняется очень быстро, поэтому мы предлагаем вам вооружиться знаниями будущего уже сегодня. Вместе с компанией «Ростелеком» мы начинаем публикацию серии материалов образовательного онлайн-проекта «Цифровая экономика. Профессии будущего».
Это не совсем обычный партнерский проект: это настоящие образовательные курсы, которые помогут вам разобраться в современных технологиях и сделать первый шаг к освоению новой профессии.
Первый курс посвящен робототехнике: из него вы узнаете все о роботах и о том, как стать специалистом, создающим их
Это не совсем обычный партнерский проект: это настоящие образовательные курсы, которые помогут вам разобраться в современных технологиях и сделать первый шаг к освоению новой профессии.
Первый курс посвящен робототехнике: из него вы узнаете все о роботах и о том, как стать специалистом, создающим их
Если вы чувствуете симптомы выгорания (не путать с депрессией!), то время задуматься о своем здоровье. Наблюдения за 11 тысячами человек показали, что у людей с высокими баллами по шкале выгорания на 20 процентов выше риск развития мерцательной аритмии, то есть фибрилляции предсердий. Эта закономерность не зависит от наличия других болезней (например, сердечно-сосудистых заболеваний или депрессии) и, вероятно, объясняется воспалением
http://short.nplus1.ru/burnoutarythmia
http://short.nplus1.ru/burnoutarythmia
Основной феномен, определяющий космическую погоду, — это магнитные бури. Несмотря на их заметное влияние, в некоторых аспектах они изучены хуже, чем намного более слабые суббури. В частности, не было известно, где конкретно возникают магнитные пересоединения, подпитывающие их. В новой работе ученые выяснили, что как минимум в случае бури декабря 2015 года пересоединения происходили примерно на 8 радиусах Земли, что не только рекордно близко, но и ранее считалось невозможным
http://short.nplus1.ru/closeststorm
http://short.nplus1.ru/closeststorm
Математика Софью Васильевну Ковалевскую мы знаем в основном как первую женщину — профессора математики, преподававшую в европейском университете. Но что она сделала в науке? В честь 170-летия Ковалевской рассказываем о том, как Ковалевская помогла понять природу колец Сатурна и доказала теорему, получившую ее имя
http://short.nplus1.ru/skovalevskaya
http://short.nplus1.ru/skovalevskaya
Про секреты зверей-долгожителей мы знаем уже немало, а как насчет растений? Измерив разные параметры у 34 деревьев гинкго возрастом до 1353 лет, ученые обнаружили, что у них не снижается ни плодовитость, ни эффективность фотосинтеза — иными словами, никаких признаков изнашивания. Секрет, судя по всему, заключается в генах: что в 20, что в 600 лет экспрессия генов, связанных с ответом на стресс и паразитов, остается неизменной
http://short.nplus1.ru/ginkgoyoung
http://short.nplus1.ru/ginkgoyoung
Астрономы благодаря системе радиотелескопов ALMA и межпланетной станции «Розетта» смогли обнаружить и в составе далекой области звездообразования, и впервые в составе кометы Чурюмова — Герасименко молекулы окиси фосфора. Это подтверждает идею о том, что поставщиком органических и других соединений, необходимых для возникновения жизни на планете, являются кометы, и позволило ученым отследить путь молекулы от межзвездной среды до нашей планеты
http://short.nplus1.ru/pininterstellar
http://short.nplus1.ru/pininterstellar
Всего одной десятой градуса не хватило минувшему 2019 году, чтобы получить звание самого жаркого в истории наблюдений. По данным ВМО, средняя глобальная температура в прошедшем году была на 1,1 градус выше доиндустриальной, а в рекордном 2016 году она была выше на 1,2 градуса. Но и пятилетие, и десятилетие по-прежнему остаются рекордными, а запасы тепла в океане бьют все рекорды
http://short.nplus1.ru/2ndwarmest
http://short.nplus1.ru/2ndwarmest
У ближайшей к Солнцу звезды, Проксимы Центавра, известна одна экзопланета. Астрономы провели детальный анализ длинного ряда наблюдений этого светила и нашли указания на существование еще одной. Пока что это лишь кандидат в экзопланеты, но при подтверждении она может стать подходящим объектом для наблюдения телескопами следующего поколения
http://short.nplus1.ru/2toproxima
http://short.nplus1.ru/2toproxima
Редкая медицинская история с хорошим концом: врачи впервые спасли жизнь мальчику с генетической интерферонопатией — болезнью, при которой воспаление не угасает со временем, а только разгоняется. Обычно дети с такой мутацией не доживают и до семи месяцев, но этому пациенту уже три года и он продолжает расти и развиваться. А спасло его лекарство от редкой формы рака, которое врачи догадались применить в другой области
http://short.nplus1.ru/6s4xcNy
http://short.nplus1.ru/6s4xcNy
В мультсериале «Рик и Морти» один из эпизодов был посвящен инопланетному паразиту, который выживал за счет внедрения героям ложных воспоминаний. И хотя вокруг ложных воспоминаний построены сюжеты многих научно-фантастических произведений, они на самом деле довольно обыденная вещь. Они неизбежно накапливаются в памяти каждого из нас и даже могут рассматриваться как определенное благо. Подробнее о том, как рождаются и функционируют ложные воспоминания, а также о том, для чего они нужны, читайте в нашем материале
http://short.nplus1.ru/fakememories
http://short.nplus1.ru/fakememories
Очередные хорошие новости в деле восстановления популяции северных белых носорогов: в декабре ученым удалось получить еще один жизнеспособный эмбрион. Сейчас их три: эмбрионы держат в жидком азоте и планируют трансплантировать суррогатной матери (самке южного белого носорога) в ближайшее время (возможно, уже в этом году)
http://short.nplus1.ru/3rdwhiterhino
http://short.nplus1.ru/3rdwhiterhino