У горбатых китов богатый «репертуар» техник охоты. Одна из них — создание ловушки из пузырьков, в которую киты загоняют рыбу, — освоена лишь несколькими популяциями. Хотя об этом методе ученым хорошо известно, снять его на видео удается редко. Морским биологам удалость снять еще одно видео, которое снимали с дрона и с помощью камер на спинах животных
http://short.nplus1.ru/rarevideo
http://short.nplus1.ru/rarevideo
Физики давно были уверены, что заряженные нанокапли сверхтекучего гелия будут быстро терять заряд, испуская заряженные сгустки, однако проверить это предположение до сих пор никому не удавалось. Физики из Австралии, Бразилии и Великобритании научились получать нанокапли с зарядом в 55 раз больше заряда электрона и впервые проверили на практике предсказания теоретиков. Оказалось, что после формирования заряженные капли несколько секунд остаются стабильными, однако потом теряют заряд по намеченному сценарию. При этом максимальный заряд, который можно «запихать» в каплю, растет пропорционально площади ее поверхности
http://short.nplus1.ru/chargeddroplets
http://short.nplus1.ru/chargeddroplets
NASA показало семейство скафандров, которые космонавты будут носить во время полета на Луну в 2024 году. Один скафандр семейства — OCSS — предназначен для работы на космическом корабле во время полета. Вторым — xEMU — космонавты будут пользоваться на поверхности Луны
http://short.nplus1.ru/suits
http://short.nplus1.ru/suits
Биологический возраст мозга может отличаться от хронологического — и нередко в лучшую сторону, то есть в меньшую. Норвежские ученые подсчитали, что у рожавших женщин это различие сильнее, чем у бездетных, то есть мозг в среднем моложе, чем должен быть. Как именно роды омолаживают мозг, пока непонятно, но кажется, что этот эффект накопительный — по крайней мере, пока детей не больше пяти
http://short.nplus1.ru/parousyounger
http://short.nplus1.ru/parousyounger
Когда сливаются галактики, то вокруг сверхмассивной черной дыры может возникнуть несколько крупномасштабных потоков вещества, которые вращаются в разные стороны. Астрономам впервые удалось найти пример противовращающихся дисков на малом масштабе не далее нескольких парсек от центра галактики. Такая конфигурация не может долго существовать, а ее разрушение приведет к резкому росту аккреции и всплеску активности ядра
http://short.nplus1.ru/counterroation
http://short.nplus1.ru/counterroation
В Египте рядом с Луксором нашли больше 20 деревянных запечатанных саркофагов. До них не добрались грабители, поэтому археологи надеются, что они сохранились в том виде, в котором их оставили древние египтяне. Подробности и примерные даты захоронений обещают рассказать в субботу, на пресс-конференции
http://short.nplus1.ru/20newfinds
http://short.nplus1.ru/20newfinds
Горбатые киты на севере Тихого океана научились загонять рыбу себе в пасть грудными плавниками. Ученые зафиксировали, как один из китов ослеплял рыбу внутренней стороной плавников, а другой — создавал ток воды, собирая рыбу, и ставил плавник, как барьер, чтобы добыча не уплыла
http://short.nplus1.ru/newwayhunt
http://short.nplus1.ru/newwayhunt
Исследовательская группа установила, что примерно половина лекарств от рака, одобренных европейскими властями с 2014 по 2016 год, могут быть бесполезными. Разобрались, почему это произошло и какие меры предлагают принять ученые, чтобы такая ситуация больше не повторялась
http://short.nplus1.ru/cancermedicine
http://short.nplus1.ru/cancermedicine
Зубы пираньи — устрашающая конструкция: они соединены замками в горизонтальные ряды. Ученые выяснили, что все пираньи сбрасывают старые зубы целыми блоками, а защелки между ними нужны, чтобы зубы стачивались равномерно и в их стройном ряду не возникали «слабые звенья»
http://short.nplus1.ru/pirahnateeth
http://short.nplus1.ru/pirahnateeth
BIM — это Building Information Modeling, создание информационных моделей зданий и сооружений. В России эта программа используется давно, но в большинстве случаев ее истинный потенциал игнорируется. В партнерском материале рассказываем, как с помощью собственных плагинов компания «ПИК» усовершенствовала эту систему и перенесла туда множество рабочих процессов: от поэтапного построения 3D-моделей домов, как в конструкторе LEGO, до координации между сотрудниками из разных городов
http://short.nplus1.ru/pikbim
http://short.nplus1.ru/pikbim
Считается, что активность нейронов — это полезно, особенно пожилым людям с риском развития деменции. Гарвардские биологи предупреждают: не все так просто! Они подавили процессы возбуждения нервных клеток в мозге мышей и червей — и те стали жить дольше. Результаты, по словам ученых, оказались настолько «контринтуитивными», что статью два года не публиковали в Nature. Но теперь они наконец-то смогли убедить суровых рецензентов в том, что присказка «тише едешь — дальше будешь» справедлива и для мозга человека
http://short.nplus1.ru/restlifespan
http://short.nplus1.ru/restlifespan
Солнце — весьма спокойная звезда, но и на ней случаются сильные вспышки. Ученым такие наблюдать не приводилось, последняя случилась примерно во время Крещения Руси. За последние 2000 лет таких событий было два, и они известны как по физическим, так и по историческим данным. В новой работе удалось найти подходящие упоминания в текстах ассирийских астрологов для третьего подобного события — оно произошло более 2500 лет назад
http://short.nplus1.ru/assyrianastro
http://short.nplus1.ru/assyrianastro
В конце августа мы попросили наших читателей поделиться своими рецептами салата «Оливье». Мы обработали результаты этого опроса и готовы рассказать вам о его итогах: из нашего партнерского материала вы узнаете о «базовом» рецепте оливье, о необычных ингредиентах, которые можно добавить в этот салат (некоторые нас очень удивили!), и о том, как это блюдо нужно сервировать
http://short.nplus1.ru/greatolivier
http://short.nplus1.ru/greatolivier
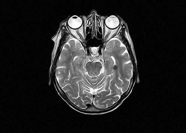
Ученые нашли еще одну мутацию, которая позволяет ее счастливым носителям высыпаться за 4-5 часов. Больше того, она, похоже, защищает от проблем с памятью, которые возникают при недостатке сна — по крайней мере у мышей, которые проходили тесты на контекстную память
http://short.nplus1.ru/nosleepmutation
http://short.nplus1.ru/nosleepmutation
В то время как одни ученые ищут способ увеличить теломеры человека и таким образом продлить его жизнь, другие опасаются, что это приведет к развитию опухолей. Испанские ученые развеяли эти сомнения: они вырастили мышей со сверхдлинными теломерами, которые жили не только дольше, но и здоровее сверстников. При этом для наращивания теломер не потребовалось никакого генетического вмешательства
http://short.nplus1.ru/extratelomeres
http://short.nplus1.ru/extratelomeres
В пятницу в лондонском Музее естествознания в Кенсингтоне открывается ежегодная выставка Wildlife Photorgapher of the Year. На ней будут представлены лучшие работы фотографов всего мира, посвященные дикой природе во всех ее проявлениях. Предлагаем вам познакомиться со снимками, которые показались нам самыми красивыми и интересными
http://short.nplus1.ru/wildlife2019
http://short.nplus1.ru/wildlife2019
Пару дней назад на одном портале с препринтами появилась новая работа российских ученых, которые создали алгоритм, способный реконструировать видео по ЭЭГ-сигналу того, кто его смотрит. Разумеется, все это выглядит как «чтение мыслей» и невероятный технический прогресс, но мы, смутившись тем, как выглядят полученные изображения, решили в ситуации разобраться. Что на самом деле сделали ученые и почему это все еще далеко не чтение мыслей — читайте об этом в нашем блоге
http://short.nplus1.ru/neurosomething
http://short.nplus1.ru/neurosomething
Сегодня журнал Nature рассказал о том, что российский генетик Денис Ребриков начал эксперименты по редактированию генома с яйцеклетками глухих женщин. Однако раньше он утверждал, что не будет двигаться вперед без разрешения этического комитета. Мы поговорили с ним и его пациенткой и выяснили, что произошло недопонимание: никаких яйцеклеток глухих женщин у биолога в распоряжении пока нет
http://short.nplus1.ru/rebrikovnature
http://short.nplus1.ru/rebrikovnature
Сингапурские инженеры научились печатать на 3D-принтере шоколадные конфеты с жидкой шоколадной начинкой. Отличие нового метода заключается в том, что в процессе печати шоколадная смесь не нагревается, а просто выдавливается из сопла, что упрощает конструкцию принтера
http://short.nplus1.ru/3Dchocolate
http://short.nplus1.ru/3Dchocolate
По традиции делимся с вами обзором лучших новостей и материалов недели.
Ученые нашли еще одну мутацию, которая позволяет ее счастливым носителям высыпаться за 4-5 часов
Журнал Archives of Sexual Behavior отозвал статью 2014 года о повышенной привлекательности женщин на высоких каблуках в глазах мужчин
Палеонтологи подтвердили, что в Австралии среди крупнейших плейстоценовых хищников большинство составляли рептилии, а не млекопитающие
Испанские ученые вырастили мышей со сверхдлинными теломерами, которые жили не только дольше, но и здоровее сверстников
С латинским языком (пусть и чуть-чуть) знакомы даже те, кто ни разу не брал в руки учебник. Предлагаем вам с помощью нашего теста проверить, насколько хорошо вы разбираетесь в латыни
Рассказали, какие эксперименты проводили лауреаты премии памяти Альфреда Нобеля по экономическим наукам и почему их исследования оказались важны для передовых изменений в жизни многих стран
В партнерском материале рассказываем, как с помощью собственных плагинов «ПИК» усовершенствовал систему Building Information Modeling и перенес туда множество рабочих процессов: от построения 3D-моделей домов до координации между сотрудниками
Исследовательская группа установила, что примерно половина лекарств от рака, одобренных европейскими властями с 2014 по 2016 год, могут быть бесполезными. Разобрались, почему так получилось и что можно сделать, чтобы такая ситуация больше не повторялась
Рассказываем об итогах нашего опроса о салате «Оливье»: вы узнаете о «базовом» рецепте этого блюда, о необычных ингредиентах, которые можно добавить в этот салат, и о том, как его нужно сервировать. Это партнерский материал
#главноезанеделю
Ученые нашли еще одну мутацию, которая позволяет ее счастливым носителям высыпаться за 4-5 часов
Журнал Archives of Sexual Behavior отозвал статью 2014 года о повышенной привлекательности женщин на высоких каблуках в глазах мужчин
Палеонтологи подтвердили, что в Австралии среди крупнейших плейстоценовых хищников большинство составляли рептилии, а не млекопитающие
Испанские ученые вырастили мышей со сверхдлинными теломерами, которые жили не только дольше, но и здоровее сверстников
С латинским языком (пусть и чуть-чуть) знакомы даже те, кто ни разу не брал в руки учебник. Предлагаем вам с помощью нашего теста проверить, насколько хорошо вы разбираетесь в латыни
Рассказали, какие эксперименты проводили лауреаты премии памяти Альфреда Нобеля по экономическим наукам и почему их исследования оказались важны для передовых изменений в жизни многих стран
В партнерском материале рассказываем, как с помощью собственных плагинов «ПИК» усовершенствовал систему Building Information Modeling и перенес туда множество рабочих процессов: от построения 3D-моделей домов до координации между сотрудниками
Исследовательская группа установила, что примерно половина лекарств от рака, одобренных европейскими властями с 2014 по 2016 год, могут быть бесполезными. Разобрались, почему так получилось и что можно сделать, чтобы такая ситуация больше не повторялась
Рассказываем об итогах нашего опроса о салате «Оливье»: вы узнаете о «базовом» рецепте этого блюда, о необычных ингредиентах, которые можно добавить в этот салат, и о том, как его нужно сервировать. Это партнерский материал
#главноезанеделю
nplus1.ru
Мутация в рецепторе нейропептида S уменьшила потребность в сне и защитила память мышей
Медики нашли еще одну мутацию, которая позволяет ее носителям спать по 4,3-5,5 часов в сутки и высыпаться, говорится в Science Translational Medicine. Больше того, она, похоже, защищает от нарушений памяти, связанных с недостатком сна — по крайней мере, так…